
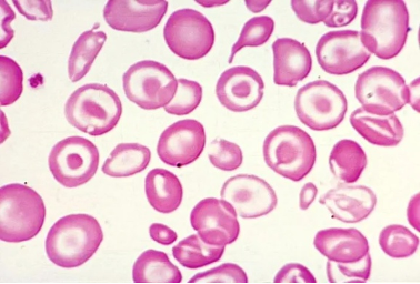
Šiame skyriuje mokiniai supažindinami su talasemija – kraujo liga, kurią sukelia HBB geno mutacijos, trukdančios normaliam hemoglobino gamybai. Mokiniai pirmiausia sužinos, kas yra talasemija ir kaip ji veikia organizmą. Tada jie išnagrinės, kaip genų terapija, naudojant tokias priemones kaip CRISPR-Cas9, gali pataisyti arba pakeisti defektinį DNR, suteikiant galimybę išgydyti ligą.
Modulis parengtas pagal „Tyrinėti – Vykdyti – Tobulinti“ metodiką:
- Tyrimas: žinių apie talasemiją ir genų terapiją pagrindų formavimas.
- Įgyvendinti: naudoti papildytos realybės simuliacijas ir praktinius užsiėmimus, kad būtų galima praktiškai išmokti „taisyti“ defektinius genus.
- Tobulinimas: apmąstymai apie pažangias taikymo galimybes, etines diskusijas ir genetinės terapijos ateitį.
Sukūrė CEIPES partneriai