Enrolment options

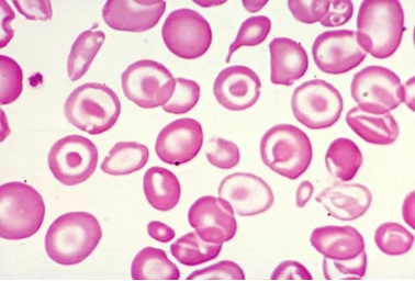
See üksus tutvustab õppijatele talasseemiat, verehaigust, mida põhjustavad HBB geeni mutatsioonid ja mis takistavad normaalse hemoglobiini tootmist. Õpilased saavad esmalt teada, mis on talasseemia ja kuidas see mõjutab keha. Seejärel uuritakse, kuidas geeniteraapia — kasutades näiteks CRISPR-Cas9 tööriistu — võib parandada või asendada vigast DNA-d, pakkudes võimalust haigusest terveneda.

Üksus järgib metoodikat Uuri – Rakenda – Täienda:

  • Uuri: Talasseemia ja geeniteraapia kohta teadmiste baasi loomine.
  • Rakenda: Liitreaalsuse simulatsioonide ja praktiliste harjutuste abil vigaste geenide “parandamise” harjutamine.
  • Täienda: Arutletakse edasijõudnud rakenduste, eetiliste küsimuste ja geeniteraapiate tuleviku üle.

Loonud CEIPES partnerid

Self enrolment (Student)